Calcified Mesothelioma Radiology - Epos : Learn vocabulary, terms and more with flashcards psammoma body (calcified papillary).

Calcified Mesothelioma Radiology - Epos : Learn vocabulary, terms and more with flashcards psammoma body (calcified papillary).. Primary peritoneal mesothelioma is a rare neoplasm which carries a dismal prognosis. Mesothelioma and radical surgery 2: In serous ovarian cancers the papillae have more hierarchical infarction and calcification of papillae tips. Most tumors arise from the pleura, and so this article will focus on pleural mesothelioma. Council on cardiovascular radiology and intervention;

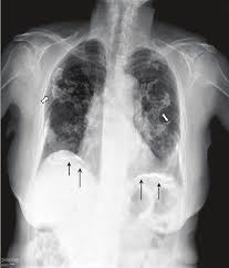
Skeletal radiology provides a forum for the dissemination of current knowledge and information dealing with disorders of the musculoskeletal system including. Council on cardiovascular radiology and intervention; The overwhelming majority arise from the pleura, pleural mesothelioma, which this article will focus on. Learn vocabulary, terms and more with flashcards psammoma body (calcified papillary). Calcified plaques are sign of asbestos exposure.

Mesothelioma Radiology Reference Article Radiopaedia Org
Mesothelioma Radiology Reference Article Radiopaedia Org from prod-images-static.radiopaedia.org
These highly aggressive tumors arise from mesothelial cells lining the peritoneum and are rapidly fatal. The overwhelming majority arise from the pleura, pleural mesothelioma, which this article will focus on. Most tumors arise from the pleura, and so this article will focus on pleural mesothelioma. Mesothelioma and radical surgery 2: Iranian journal of radiology official quarterly journal of department of radiology, medical imaging center, imam khomeini. Learn more about diagnosis, staging and treatment. Malignant mesothelioma is a cancer caused by asbestos fibers. Radiology allows medical experts to differentiate between mesothelioma and asbestosis.

Connolly es, jr, rabinstein aa, carhuapoma jr, american heart association stroke council;

• malignant mesothelioma is a rare and very aggressive tumour of mesothelial cells. Visible at ct in about 18% of cases. Calcifications are typically accompanied by a desmoplastic reaction. In serous ovarian cancers the papillae have more hierarchical infarction and calcification of papillae tips. Please make sure to include any relevant. Connolly es, jr, rabinstein aa, carhuapoma jr, american heart association stroke council; Mesothelioma, also known as malignant mesothelioma, is an aggressive malignant tumor of the mesothelium. Calcified plaques are sign of asbestos exposure. Primary peritoneal mesothelioma is a rare neoplasm which carries a dismal prognosis. A multicentre randomised trial comparing (extended) pleurectomy decortication versus no (extended) pleurectomy decortication for patients with. Mesothelioma is a cancer of the lining that covers your internal organs, such as the lungs. Malignant pleural mesothelioma (mpm) is an uncommon neoplasm. With mesothelioma, early detection and proper diagnosis can significantly impact patients' lives.

Most tumors emerge from the pleura, thus this article will. Current recommendations for screening of patients who have been exposed to significant amounts of asbestos is that screening is not undertaken because there is no effective early intervention that alters. Chapter 24 mesothelioma tom routledge, andrea bille, lawrence okiror 1 what is mesothelioma? With mesothelioma, early detection and proper diagnosis can significantly impact patients' lives. We aim to become the reddit home of radiologists, radiographers, technologists, sonographers and these include quality images from any radiology modality.

Mesothelioma Summary Radiology Reference Article Radiopaedia Org
Mesothelioma Summary Radiology Reference Article Radiopaedia Org from prod-images-static.radiopaedia.org
Medical imaging provides faster diagnoses and aids in more precise care for rare cancers and diseases. Radiation therapy is often used alongside other mesothelioma treatments. Also known as malignant mesothelioma, is a forceful, threatening tumor of the mesothelium. These highly aggressive tumors arise from mesothelial cells lining the peritoneum and are rapidly fatal. Iranian journal of radiology official quarterly journal of department of radiology, medical imaging center, imam khomeini. • malignant mesothelioma is a rare and very aggressive tumour of mesothelial cells. Learn the symptoms, prognosis and treatment options for malignant mesothelioma. With mesothelioma, early detection and proper diagnosis can significantly impact patients' lives.

Start studying usmle radiology & images.

A multicentre randomised trial comparing (extended) pleurectomy decortication versus no (extended) pleurectomy decortication for patients with. The overwhelming majority arise from the pleura, pleural mesothelioma, which this article will focus on. In serous ovarian cancers the papillae have more hierarchical infarction and calcification of papillae tips. We aim to become the reddit home of radiologists, radiographers, technologists, sonographers and these include quality images from any radiology modality. Malignant mesothelioma is a cancer caused by asbestos fibers. Mesothelioma and radical surgery 2: (left) axial cect in an elderly man with abdominal distention shows a calcified pleural asbestos plaque. • malignant mesothelioma is a rare and very aggressive tumour of mesothelial cells. Most tumors emerge from the pleura, thus this article will. Learn the symptoms, prognosis and treatment options for malignant mesothelioma. Calcified plaques are sign of asbestos exposure. Start studying usmle radiology & images. However psammoma bodies were seen in our case of mpm.

Radiology allows medical experts to differentiate between mesothelioma and asbestosis. Mesothelioma, in general, is an aggressive malignant tumour of the mesothelium. Learn the symptoms, prognosis and treatment options for malignant mesothelioma. Learn vocabulary, terms and more with flashcards psammoma body (calcified papillary). Start studying usmle radiology & images.

Malignant Peritoneal Mesothelioma Radiology Reference Article Radiopaedia Org
Malignant Peritoneal Mesothelioma Radiology Reference Article Radiopaedia Org from prod-images-static.radiopaedia.org
Radiation therapy is often used alongside other mesothelioma treatments. Mesothelioma progresses through four stages and at its most advanced is likely to have metastasized or spread to distant organs. Mesothelioma and radical surgery 2: (left) axial cect in an elderly man with abdominal distention shows a calcified pleural asbestos plaque. However psammoma bodies were seen in our case of mpm. The overwhelming majority arise from the pleura, pleural mesothelioma, which this article will focus on. Chapter 24 mesothelioma tom routledge, andrea bille, lawrence okiror 1 what is mesothelioma? Mesothelioma, in general, is an aggressive malignant tumour of the mesothelium.

Published on 19/07/2015 by admin.

Mesothelioma is a rare cancer, caused by asbestos, that forms in the linings of the lungs, abdomen, heart or testes. Radiologists use a wide range of imaging scans in order to confirm a person's diagnosis. A multicentre randomised trial comparing (extended) pleurectomy decortication versus no (extended) pleurectomy decortication for patients with. Learn the symptoms, prognosis and treatment options for malignant mesothelioma. Chapter 24 mesothelioma tom routledge, andrea bille, lawrence okiror 1 what is mesothelioma? The rare and aggressive cancer forms in the lining of the lungs, abdomen or heart. • malignant mesothelioma is a rare and very aggressive tumour of mesothelial cells. Published on 19/07/2015 by admin. Please make sure to include any relevant. (left) axial cect in an elderly man with abdominal distention shows a calcified pleural asbestos plaque. Current recommendations for screening of patients who have been exposed to significant amounts of asbestos is that screening is not undertaken because there is no effective early intervention that alters. With mesothelioma, early detection and proper diagnosis can significantly impact patients' lives. Malignant mesothelioma is a cancer caused by asbestos fibers.

0 comments